マイクロ・ナノプラスチックの体内蓄積、肝臓・腎臓などの臓器より、脳内蓄積が7~30倍も多く。一人平均、プラスチックスポーン1本分の蓄積量との推計。米研究チームが論文(RIEF)
2025-02-08 18:12:46
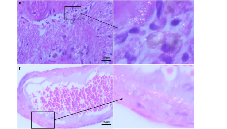
(写真は、脳内で確認されたマイクロ・ナノプラスチックの破片=同論文から)
環境中に廃棄されたプラスチック廃棄物から形成される微細なマイクロ・ナノプラスチック(MNP)が人体に及ぼす影響が懸念されているが、体内に取り込まれるMNPの蓄積は、肝臓などの臓器よりも脳の内部に7~30倍の濃度で取り込まれていることが米研究論文で明らかになった。人間の脳には外部からの有害物質の侵入を防ぐ防御機能があるが、それを潜り抜けて大量のMNPが蓄積していることになる。ただ、何を介して蓄積したのかは不明。研究者らによると、脳内に蓄積していたMNPの量は平均してプラスチックのスプーン1本分だったとしている。
米ニューメキシコ大学の毒物・薬学教授のマシュー・キャンペン(Matthew Campen)氏が研究チームを主導した。2月3日付の米医学誌「naturemMedicine」に「死亡した人の脳におけるマイクロプラスチックの生物濃縮(Bioaccumulation on microplastics in decedent human brains)」のタイトルで掲載された。
同研究では米国で2016年と24年に亡くなった計52人の脳を分析した。脳のサンプルは前頭前野から採取された。これは人の行動を制御し意思決定に関与する部分にあたる。
これらの部位に蓄積した人類由来のプラスチック廃棄物が環境中で分解して生成されるマイクロプラスチック(直径5mm以下)と、ナノプラスチック(同1000分の1mm以下:両方合わせて「MNP」と呼ぶ)の分布状況を調べた。それによると、人体での蓄積量は肝臓や腎臓などの臓器よりも脳内のほうが7~30倍の割合でMNPの濃度が多かったとしている。ただ、これらが健康に及ぼす影響は現時点では不明点が多いとしている。
2024年の死亡者の脳サンプルと16年志望者のサンプルを比べると、24年志望者のサンプルの方が約50%多くのMNPが含まれており、プラスチック廃棄物の経年的な蓄積増大の傾向を反映している。また脳内蓄積のMNPの大部分は、より微細なナノスケールの破片状のものだった。サンプルのMNP濃度は、年齢、性別、人種/民族、死因の影響を受けなかったとしており、あらゆる層が影響を受けていることを示している。
同研究では、認知症と診断されていた12人の脳サンプルでのナノプラスチックの濃度が、認知症ではなかった人々のサンプルよりも高いことも確認された。ただ、今回の研究に参加していない研究者であるロードアイランド大学の神経科学助教授ジェイミー・ロス(Jaime Ross)氏は「この研究結果だけで、MNPが認知症を引き起こしていると断定はできない」と指摘している。
同氏によると、認知症患者は脳の防御機能である「血液脳関門」の機能が低下していることが多いことから、そのためMNP濃度が上昇していた可能性があるとの見解だ。MNPの脳内蓄積は疾患の原因ではなく、症状の一つと言えるかもしれないとの見方だ。た脳内で最も多く発見されたMNPは、レジ袋や洗剤容器などに広く使われるポリエチレンに由来するものとされる。
脳内にある防御機能のフィルターの存在にもかかわらず、脳内に相対的に多くのMNPが蓄積されていた要因は今回の研究論文では不明だが、研究チームをリードしたキャンペン氏は「脳は脂肪の割合が高いため、それが関係している可能性がある」と指摘している。 「ベーコンの脂やバターが不着したplastic製のタッパー等を洗った場合が、大量の洗剤と熱湯を使っても、プラスチックと脂肪を完全に分離するのは極めて難しい。それと同じようなプロセスが脳内で起きている可能性があると思う」と指摘している。
同論文では、サンプルのMNP濃度では、年齢の影響は顕著には出ておらず、高齢者の脳でのMNP濃度が若年層よりも高いという傾向は見られなかった。この点についてキャンペン氏は、体内に取り込まれたMNPが便として体外に排出されている可能性を示唆している。「つまり、一生を通じてMNPを体内に溜め続けるわけではないと考えられる」とみている。ただし、今回の研究論文では、それを立証できるデータは示されていない。同氏は「それを裏付けるにはさらなる研究が必要」としている。
環境中のMNPの濃度は世界的に上昇しており、人体への暴露や健康への影響が懸念されている。ヒトの腎臓、肝臓、脳におけるMNPの存在はすでに確認されている。これらの臓器中のMNPは主にポリエチレンからなり、他のポリマーの濃度は少ないが有意だった。カンペン氏によると、脳内には脳の重量比で0.5%に相当する7gのプラスチックが存在するとみており、「標準的なプラ製スプーン1本分に相当する」と指摘している。

































Research Institute for Environmental Finance